オ-ルオン4・6治療の成功には
ドクタ-選びが最重要です
築盛ジルコニアセラミック
ノーベル製インプラントを使用
“オールオン4・6”
片顎
総額
220
万円
税込
1日で
しっかりと
噛める歯になります
※それぞれの患者様によって期限や内容が変わることがあります。
オ-ルオン4・6治療の成功には
ドクタ-選びが最重要です
築盛ジルコニアセラミック
ノーベル製インプラントを使用
“オールオン4・6”
片顎
総額
220
万円
税込
1日で
しっかりと
噛める歯になります
※それぞれの患者様によって期限や内容が変わることがあります。
01
最小4本のインプラントで
片顎全ての歯を支えます
オールオン4・6は、最小4本のインプラントで片顎全ての歯を支えるインプラント治療で、総入れ歯が合わない、痛みを感じるなどといったお悩みを感じている方や、多くの歯を失ってしまった方、お口の中がボロボロになってしまった方のための治療です。オールオン4・6は、顎に埋入するインプラントの数が最小で4本で済み、また骨造成などの手術も必要ないため、通常のインプラントと比較して患者様の身体的な負担が少ないことが特徴です。
02
1日でしっかりと
噛める歯になります
抜歯からインプラントの埋入手術、仮歯の装着までをたった1日で行うことができます。
また、今まで使用していた歯や入れ歯については手術当日まで使うことができ、手術の日の夜には新しくきれいな仮歯を装着し簡単な食事を行うことができます。従来のインプラント治療では、手術してから顎の骨とインプラントが結合し、新しい歯が入るまでに何ヵ月も待つ必要がありましたが、その時間的負担もありません。
抜歯から仮歯の装着までたった1日
03
通常のインプラント治療に比べ身体的・経済的負担が
少ない治療です
従来のインプラント治療では、歯を失った箇所に1本ずつインプラント体を埋め込む必要があり、ほとんど歯が無い場合には片方の顎に10数本のインプラントを埋め込まなければならないため、手術を受ける患者様にとっては、身体的にも経済的にも非常に負担のかかる方法でした。
オールオン4・6治療の場合、顎に埋め込むインプラントの本数が最小4本で済み、顎に対して斜めにインプラントを埋め込むため、通常のインプラント治療と比べると治療時の患者様の負担を最小限に抑えることができます。
さらに
他院で顎の骨の量や高さが原因で
インプラントを断られた方も手術できる可能性が
あります
通常のインプラント治療を行うためには、
インプラント体を埋め込むために十分な顎の骨の厚みが必要になるのですが、
オールオン4・6治療の場合、
顎に対して斜めにインプラントを埋め込むため、
通常のインプラント治療と比べて骨量が他の人より少ない方でも骨移植などをせずに
治療を行うことができるようになります。
失われた歯を一度に取り戻す
画期的な治療法
「オールオン4・6」
当院では、その仕上がりの
「美しさ」と「品質」にとことんこだわり、
特別なプランをご用意しています。
歯の被せ物は、まるで芸術品。
「築盛ジルコニアセラミック」
歯の美しさを決める被せ物には、「ジルコニアセラミック」を使用します。
美しさ
天然の歯と見分けがつかないほど、透明感と自然な色合いを再現できます。
強さ
ダイヤモンドに匹敵するほどの硬さで、欠けたりすり減ったりしにくく、長年美しい状態を保ちます。
優しさ
金属を一切使わないため、アレルギーの心配がなく、体にとても優しい素材です。
ここが
凄い!
熟練の技
「築盛(ちくせい)」仕上げ
当院のジルコニアセラミックは、単に白いブロックを削り出すのではありません。熟練の歯科技工士が、色の異なるセラミックを何層にも丁寧に重ねて焼き上げる「築盛」という特別な技法で、一本一本の歯を手作りします。
これにより、天然の歯が持つ複雑な色のグラデーションや、先端の透明感まで忠実に再現できます。それはまさに、あなただけのために作られるオーダーメイドの芸術品です。
CT検査~上部構造装着まで全て
セットで税込220万円
その価値とは?
当院のオールオン4・6は、
以下の内容がすべて含まれた費用です。
インプラント
世界的な
信頼と実績を誇る
「ノーベルバイオ
ケア社製」を
使用。
上部構造(12本の歯)
上記で説明した、
「築盛ジルコニア
セラミック」で
全ての歯を作製。
これがいかに凄いことか?
インプラントの父が創業した、
世界トップブランド
「ノーベルバイオケア」
インプラント本体には、世界で初めて近代インプラントシステムを製品化した、歴史と信頼性においてトップクラスの「ノーベルバイオケア社」製のみを使用します。
半世紀以上にわたる研究開発と、膨大な臨床データに裏付けられたその品質は、長期的な安定性と高い成功率を誇ります。世界中の歯科医師から絶大な信頼を得ているトップブランドの一つであり、「どのインプラントを選べば良いか分からない」という方にとって、安心できる選択肢の一つと言えるでしょう。
通常、オールオン4・6の上部構造(被せ物)は機能性を重視した素材で作られることも少なくありません。
今回ご提案する【片顎 総額220万円(税込)】という価格は
「ノーベルバイオケア」という世界水準の“土台”の上に、
「築盛ジルコニアセラミック」という芸術品レベルの“歯”を乗せる
現代の歯科医療が提案できうるの素晴らしい組み合わせを、驚くべき価格で実現するものです。
これは、機能回復はもちろんのこと、「笑顔」と「自信に満ちた毎日」まで手に入れていただきたい、という私たちの強い想いの表れです。品質に一切妥協しない治療を、ぜひご検討ください。
「世界水準」と
「芸術品」の融合
オールオン4・6は
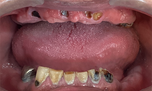
こんな方におすすめです
残っている歯が
ほとんどない
歯周病で歯が
ボロボロになっている
総入れ歯を付けているが
お手入れが面倒
残っている歯が
ほとんど無い方・
総入れ歯の方
入れ歯の、「うまく噛めない」「入れ歯が合わない」などのお悩みは、インプラント治療であれば解消され、ご自身の歯のように違和感なく噛むことができますが、費用や身体の負担が大きく、治療に踏み出せない方がとても多いと思います。
オールオン4・6は、最小で片顎4本のインプラントで治療ができるので通常のインプラントで全ての歯を治療するよりも低コストで口腔内を劇的に改善することができます。
骨量が少ない方・
骨が薄い方
骨の量が少ない、骨が薄いなどの理由でインプラント治療を断られた方も諦めないでください。
オールオン4・6は骨量が少なく神経や血管が多く集まっている奥歯ではなく、骨量の多い前歯の付近にインプラントを埋め込みますので、骨量が少ない方でも骨移植などを行うことなく治療をすることが可能です。
オールオン4・6について
更に詳しく知りたい方へ

総額 200万円
オールオン4・6は歯科医院によって費用が大きく変わります。
(一般的な費用は320万~400万です。)様々な追加費用を請求し、
最終的に高い費用がかかる歯科医院もあるのも事実です。
当院では、質を保ちながら分かりやすい価格設定を心がけて、
インプラント4本・6本埋入ともに200万円でご提供しております。
ご相談の段階で費用を明示しますので安心してご相談ください。
(インプラント・オールオン4・6治療は自費診療となります)
さらに
上部構造は全て審美性の高い築盛ジルコニアセラミックを使用
築盛ジルコニアセラミックとは、すべてセラミックで作られた被せ物のことです。自然な透明感があるため審美的に非常に優れています。また、耐久性にも優れていますので、時間が経っても長く使い続けられます。

安心できる治療実績
当院は、これまで30年以上で30,000本を超える国内でも有数の実績と経験がございます。(※平成元年~令和3年現在)
この経験をもとに、患者様に負担なくオールオン4・6の治療ができるよう、最大限サポートさせていただきますのでご安心ください。
臨床経験
※平成元年~
令和3年現在
治療実績
※平成元年~
令和5年現在
インプラント埋入実績推移表
専門家によるチーム医療
様々な分野の専門家がチームを組んで
オールオン4・6の治療にあたります。
多角的な視点から検証することで、
患者様一人ひとりに納得のインプラント治療をご提供致します。
南浦和駅
からは無料送迎
あり

東京・埼玉・神奈川に3拠点
当院は上野・さいたま・川崎の3地域で治療を提供しております。上野の医院は御徒町駅から徒歩2分と非常にアクセスがよく、埼玉の医院は南浦和駅から無料送迎のサービスを実施しております。患者様にとってアクセスが良い方の医院にお越しいただければと思います。

治療後も定期的な
メンテナンスを実施
当院では歯科衛生士による治療後のメンテナンス(クリーニング)も実施しております。インプラント歯のクリーニングに長けた歯科衛生士が担当します。※別途5,000円/回がかかります。
01
初回カウンセリング
初診カウンセリングを行います。
初診カウンセリングでは「歯が抜けてしまった」「入れ歯が痛い、合わない」「お口の中の見た目が気になる」など、患者様ご自身のお困りごとや不便に感じていること、治療へのご希望などをお聞かせください。その上で、当院では院長自ら患者様にあった治療方法をご提案し、オールオン4・6について納得のいくまでご説明します。また、ご希望の方にはお口の中の歯周検査、CT撮影、レントゲン撮影などを行い、治療に必要なデータを採取させて頂きます。
02
治療計画の説明
採取したデータをもとに診断結果をお伝えし、詳細な治療計画を策定します。また、手術後に装着する仮歯を作製するための型取りや噛み合わせの確認を合わせて行います。
03
手術
04
抜糸と型取り
手術後、約1週間~10日後に抜糸を行います。
そして抜糸とは別日、最終的な人工歯を装着するための型取りを行います。
05
治療最終日
仮歯を最終的な人工歯と交換し治療は終了です。
※上記の流れは一般的なものであり、それぞれの患者様によって、期間や内容が異なることがございます。
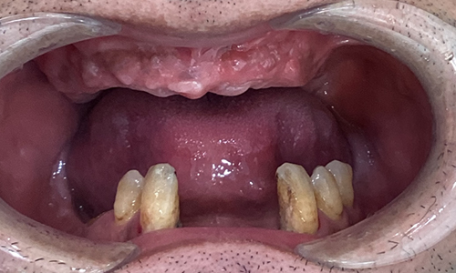
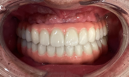
Case 01
Before
After
| 施術内容 | 義歯装着患者に対する下顎のオールオン4・6によるインプラント治療 |
|---|---|
| 治療期間 | ※準備中です |
| リスク・副作用 | オペ後の腫れ、内出血の症状が出る場合がある |
| 費用 | 2,200,000円(税込) |
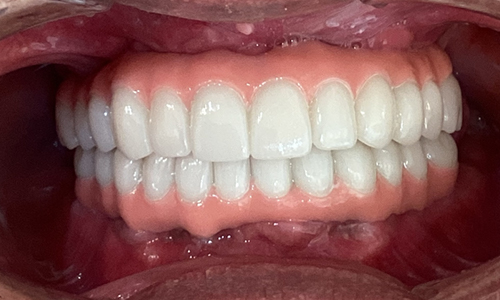
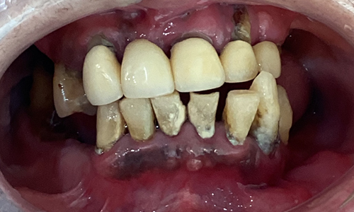
Case 02
Before
After
| 施術内容 | 義歯装着患者に対する上顎のオールオン4・6によるインプラント治療 |
|---|---|
| 治療期間 | ※準備中です |
| リスク・副作用 | オペ後の腫れ、内出血の症状が出る場合がある |
| 費用 | 2,200,000円(税込) |
Case 03
Before
After
| 施術内容 | 義歯装着患者に対する上顎のオールオン4・6によるインプラント治療 |
|---|---|
| 治療期間 | ※準備中です |
| リスク・副作用 | オペ後の腫れ、内出血の症状が出る場合がある |
| 費用 | 2,200,000円(税込) |
Case 04
Before
After
| 施術内容 | 複数欠損患者に対するオールオン4・6によるインプラント治療 |
|---|---|
| 治療期間 | 数か月 |
| リスク・副作用 | オペ後の腫れ、内出血の症状が出る場合がある |
| 費用 | 2,200,000円(税込) |
Case 05
Before
After
| 施術内容 | 複数欠損患者に対するオールオン4・6によるインプラント治療 |
|---|---|
| 治療期間 | 数か月 |
| リスク・副作用 | オペ後の腫れ、内出血の症状が出る場合がある |
| 費用 | 2,200,000円(税込) |
Case 06
Before
After
| 施術内容 | 複数欠損患者に対するオールオン4・6によるインプラント治療 |
|---|---|
| 治療期間 | 数か月 |
| リスク・副作用 | オペ後の腫れ、内出血の症状が出る場合がある |
| 費用 | 2,200,000円(税込) |
医師と連携の上で、
治療を行います。
オールオン4・6はどなたでも受けられるわけではありません。
糖尿病や高血圧、骨粗しょう症などの持病がある方は、治療を受けられない可能性があります。
当院では医師と連携し万全な対策を行った上で手術をしておりますので、
通常だと手術ができないケースでもできる場合があります。お気軽にご相談ください。
築盛ジルコニアセラミックを
使用したオールオン4・6
相談料 0円
| オールオン4・6 | 片顎 | 全顎 |
|---|---|---|
| インプラント 4本・6本 |
200万円 | 400万円 |
ご安心ください!
精密検査(CT含む)
診断料
インプラント埋入手術
インプラント本体
アバットメント(インプラントの土台)
手術時の麻酔
簡単な骨移植
仮歯
お薬代
最終的な人工歯
更に安心の10年保証
当院のオールオン4・6で使用する築盛ジルコニアセラミックは10年間の保証制度を設けております。※手術後当院にメンテナンスに来ていただいている方に限ります。
ご安心ください!
精密検査(CT含む)
診断料
インプラント埋入手術
インプラント本体
アバットメント(インプラントの土台)
手術時の麻酔
簡単な骨移植
仮歯
お薬代
最終的な人工歯
更に安心の10年保証
当院のオールオン4・6で使用する築盛ジルコニアセラミックは10年間の保証制度を設けております。※手術後当院にメンテナンスに来ていただいている方に限ります。
“デンタルローン”を
ご利用いただくこともできます
「納得のいく治療を受けたいけど、費用が心配」という方にはデンタルローンをご案内しております。
月々3,000円からの分割払いや、ボーナス払いにも対応しておりますので、
一括払いの場合よりもお気軽にオールオン4・6治療を受けていただくことができます。
デンタルローンの手続きも非常に簡単に済むため、素早く治療に入ることが可能です。
デンタルローンは歯科治療専門のお支払い方法のためご安心してご利用ください。
まずは、当医院にございます「クレジットお申し込み書」にご記入ください。
お支払いは便利なお口座からの自動振替(毎月26・27日)です。
あなたにピッタリのお支払い方法(治療費のお支払いには便利で手軽な分割払いをおすすめします。)
・分割払い(3・6・10・12・16・18・20・24・36・48・60・72・84)
・ボーナス1回払い
詳しくは当医院受付にて承ります。お気軽にご相談ください。
あなたの大切な歯だから、
いつも最良の治療を。
デンタルローンがお手伝いします。
当院が自信をもっておすすめします。
なんなりとお問い合わせください。
デンタルローン
シミュレーション
デンタルローンシミュレーションは
毎月の支払金額の目安を表示しています。
正確な支払い金額についてはデンタルローン
お申込み店へご確認ください。
STEP1
ローン対象額の入力
円
STEP2
支払い回数を選択
シミュレーション結果
毎月の支払額目安は
月々:
初回のみ
医療費控除について
医療費控除は、その年1年間(1月1日から12月31日)にご自身またはご自身の配偶者やその他の親族のために支払った医療費や薬代の金額が、10万円を超えている場合(最高200万円までが対象)税金が還付または軽減される制度です。(妻が扶養家族でなくても、夫の医療費と合算して申請することが可能です。)
医療費控除での還付金(戻ってくる金額)は、所得によって異なりますが、申請をすることで一部費用を抑えることが可能です。
<医療費控除の条件>
【1】納税者が、ご自身またはご自身の配偶者やその他の親族のために支払った医療費であること。
【2】その年の1年間(1月1日から12月31日までの間)に支払った医療費であること。未払いの場合は、実際に支払った年の医療費控除の対象(2020年に請求があり2021年に支払った場合は2021年の医療費)となります。
【3】医療費や薬代の合計金額が10万円以上であること。
※領収書が必須となるので必ず保管しておいてください。
<医療費控除の計算方法>
医療費控除額=【支払った医療費の総額(生計を共にする家族の医療費を含む)】−【保険金等で補填される金額】−【10万又は合計所得金額の5%のいずれか少ない金額】
※より詳しい説明は税務署または国税庁のホームページでご確認ください。
尚、オールオンフォーやインプラント治療は高療養費制度の対象にはなりませんのでご注意ください。
当院のオールオン4・6 HPをご覧頂き誠にありがとうございます。
若島歯科医院の院長 若島 満です。
私が本格的にインプラント治療を始めて10数年、様々な患者様を診てきました。安全への最大限の配慮、難しい症例でも治療可能な高い技術、 豊富な実績を患者様に評価していただき、今も多くの方からご相談を頂いております。

〒336-0015
埼玉県さいたま市南区太田窪2926
| 診療時間 | 月 | 火 | 水 | 木 | 金 | 土 | 日 | 祝 |
|---|---|---|---|---|---|---|---|---|
| 9:00~13:00 | ● | ● | ● | / | ● | ☆ | / | / |
| 14:30~18:00 | ● | ● | ● | / | ● | / | / | / |
☆…9:00~15:00
休診日:木曜日、日曜日、祝日
〒110-0005
東京都台東区上野6-2-14喜久屋ビル8階
| 診療時間 | 月 | 火 | 水 | 木 | 金 | 土 | 日 | 祝 |
|---|---|---|---|---|---|---|---|---|
| 10:00~18:00 | / | ● | / | ● | / | / | ● | / |
休診日:月曜・水曜・金曜・土曜・祝日
〒214-0014
神奈川県川崎市多摩区登戸
2054-1 カーサ ルミノーサ登戸 201
| 診療時間 | 月 | 火 | 水 | 木 | 金 | 土 | 日 | 祝 |
|---|---|---|---|---|---|---|---|---|
| 9:00~18:00 | ● | ● | ● | / | ● | ● | / | / |
休診日:木曜・日曜・祝日
他院だと300万~400万する治療ですが、本当に200万でできますか?
はい。片顎総額200万円+税で全ての治療が完了しますのでご安心ください。これまでの経験と実績により実現できる費用です。
手術時は痛みを感じますか?
手術中は麻酔を行いますので痛みを感じることはほとんどありません。「全然楽だった」とおしゃっていただける患者様が多いです。
治療後食事など気を付けることはありますか?
手術後すぐは、硬いものなどインプラントに負担をかけるような食事は避けたほうが良いです。あとは通常通り生活していただいて問題ございません。
年齢制限はありますか?
年齢制限は特にありません。通常のインプラント治療と比較しても身体への負担は少ないので、体力のない方や高齢の方にも基本的には対応ができます。ただし、重病のある方は控えた方が良いケースもありますので一度ご相談ください。